連携医療機関併設の細胞培養加工施設
GMP準拠の細胞加工施設は、連携医療機関であるバイオスタイルクリニック内に設置されています。細胞培養加工施設(CPC)とは、細胞を培養・加工するために必要な高度な清浄度が維持された専用のクリーンルームを指します。
当該施設は「再生医療等の安全性の確保等に関する法律」に基づき、厚生労働大臣への届出および施設番号の付与を受けた環境下で、医療機関の管理責任のもと運用されています。
なお、5Star Medical Clubは当該施設の運営主体ではなく、提携医療機関との連携により情報提供および医療体験のコーディネートを行っています。
バイオスタイルクリニックの細胞加工施設(CPC)は、厚生労働大臣へ特定細胞加工物製造施設の届け出し、クリーンレベルクラス100をクリアし、ISO5と同等の規格を満たした施設であり、これは他の日本国内CPCと比較してワンランク上の厳格な基準を満たした、より安全性の高い施設となっております。クリーンレベルクラス100とは、1立方フィート(約30㎝四方)の空気中に0.5μm以上の粒子が100個以下という条件です。これは半導体工場に求められるクリーンレベルに匹敵する清浄度です。

クリーンルームの清浄度クリーンルームとは、空気中における浮遊微小粒子、浮遊微生物が定められた清浄度レベル以下に管理され、必要に応じて温度・湿度・圧力などの環境条件についても管理が行われている空間です。清浄度(クラス)は、【アメリカ連邦規格Fed.Std.209E】と【JIS B9920、及び、ISO 14644-1】の2つの規格に大別されます。
アメリカ連邦規格Fed.Std.209E
1立方フィート(28.3L)あたりに含まれる粒径0.5μm以上の粒子の数でクラス分けが行われます。

JIS B9920、及び、ISO 14644-1
1立方メートルあたりに含まれる粒径0.1μm以上の粒子の数でクラス分けが行われます。

当培養施設での安全性基準・施設衛生管理について


CPC(細胞培養加工室)は、クリーンルームと呼ばれ「空気中における浮遊微小粒子・微生物が極めて高い洗浄度レベルで管理され、その空間で供給される材料、薬品、水などについても、あらゆる不純物を持ち込まないように管理された空間」です。

室外からのゴミの混入は、人間を介するケースがもっとも多いため、クリーンルーム入室時は、宇宙服のような「クリーン服」の着用を義務付けています。CPC内では「調整準備室」と「細胞調整室」の2つのエリアがあり、各区域はそれぞれの洗浄度レベルが設定されており、衛生的な環境下で加工・製造作業ができるよう、構造設備等のハード面及び運用ルールや教育等のソフト面の両面から管理運営しています。

バイオスタイルクリニックでは「2次元培養」にて細胞を培養しております。2次元培養では、幹細胞は薄く広がって増殖していき、細胞同士が重なることはありません。このため全ての細胞が均一に培地成分にさらされており、栄養成分や酸素などの欠乏によるストレスは低く抑えることが可能になります。専任培養士がいるからこそ実現可能な培養法です。これらの作業は全て安全キャビネット内で行われ、培地の分注作業もこの安全キャビネットで実施されます。

検査手技に関しては、正確さとスピードが重要ですので、経験を重ねて習熟する必要があります。最適な培地(細胞が分裂した回数が少ない)細胞を用いることが重要です。これは細胞の分裂には限度があり徐々に劣化(分化能の喪失等)していく為です。培養する細胞種ごとに要求する組成が異なり、それ合った培地組成を見つけ出す事が重要です。独自組成の最適な培地を使用しております。安価な市販培地でも幹細胞の培養は可能ですが、求められる品質にすることは困難です。適宜細胞の状態を観察しながら行っていますので常に微調整が必要になります。幹細胞は培地中の栄養成分の枯渇及び細胞同士の接触により性質が変化して劣化が起こり、また炎症性のサイトカイン等を分泌してしまいます。劣化を防ぐためには潤沢な培地と面積を細胞に与えればよいのですが、そうすると細胞が分泌する成長因子等の濃度は薄くなります。細胞の劣化が起こらないぎりぎりの条件で培養するために、タイミング等の諸条件の微調子を行う事ができるのが独自のノウハウになります。
劣化が見られる幹細胞

細胞の厚みがなく扁平になっているため、劣化の兆候がみられる。また、分化能も喪失していると思われる。
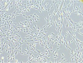
状態の良い幹細胞増殖

細胞が引き締まっており、分裂直前の細胞(白い点)が一定割合存在する。

2次元培養
2次元培養は細胞同士が平面的に接触しており、細胞間の刺激伝達は横方向のみ。培地、薬剤は上方から直接供給されます。

- 細胞の形状
平坦で引き伸ばされている。 - 細胞と培地の接触
すべての細胞が培地成分に均一にさらされている。 - 細胞間結合
細胞間結合が見られる割合が低く、生理学的環境と異なる。 - 細胞分化
細胞はあまり分化していない。 - 薬物感受性
細胞の薬物感受性は高く、薬物は高い効能を示す。 - 細胞増殖
自然環境下と比較して細胞増殖率が高くなる。 - 生存率
サイトカインへの感受性が高い。

3次元培養
3次元培養は細胞同士が3次元的に接触しており、細胞間の刺激伝達は立体的。内部の細胞は培地や薬剤に直接接触せず、拡散によって供給されます。

- 細胞の形状
楕円形の自然な形状が保たれている。 - 細胞と培地の接触
生理学的環境下と同様に、細胞の周囲に存在する培地成分の濃度に勾配がある。深層部よりも表層部の細胞がより多くの培地成分にさらされる(不均一ばく露)。 - 細胞間結合
細胞間結合が広く見られ、細胞間のコミュニケーションが可能。 - 細胞分化
細胞が着実に分化している。 - 薬物感受性
細胞はしばしば耐性を示し、薬物の効能は低い。 - 細胞増殖
細胞の種類や3次元細胞培養技術の違いにより、細胞増殖率が変動する。 - 生存率
生存率が高く、外的要因への感受性が低い。

顕微鏡による観察は、クリーンルーム内の顕微鏡を使用しており、そこではフラスコで培養中の細胞の様子が観察されています。

クリーンルーム内にあるCO2インキュベーターは、設定した温度で炭酸ガスを注入し、温度、湿度、CO2濃度を一定に保ちながら、生理的な条件で細胞培養、実験、観察が可能です。炭酸ガス濃度は体内のCO2分圧に近い5%に調整され、これにより細胞の成長に適したpH値(pH7.1~7.4)や温度(37℃)を維持しつつ、培地が乾燥しないように加湿や防カビなどの措置も行われています。

監修医師、専任培養士がお客様一人一人の適宜細胞の状態を観察しながら培養を行っております。細胞の劣化が起こらないぎりぎりの条件で培養するために、タイミング等の諸条件の微調子を行い、投与当日に合わせて培養できるのは、2次元培養をいう手間と徹底的な管理をしている為です。投与当日には、培養報告書に沿って、監修医師よりお客様の細胞の培養状態について、細胞画像を見ながらご説明いたします。

私たちが扱う細胞は最終的に医療現場でエンドユーザーに使用されるため、非常に高い品質が求められます。そのため、厳格な品質管理体制の下で培養を行い、安全性と効果性が確保された上清液を提供することが求められます。また、培養中の細胞の状態を正確に把握し、最適な環境を提供することも重要です。そのために、細胞の冷凍や解凍に使用する保護剤の量や使用時間、定期的な細胞検査や細胞活性測定、培地や培養器具の管理などを徹底的に行い、安定した品質の上清液を提供することが求められます。さらに、私たちは細胞が生きている間、丁寧に接してあげることも大切だと考えています。手作業で培養を丁寧に行い、細胞の状態や成長を常にチェックし、個々の細胞に合わせた最適な条件を提供することで、高品質な細胞を育てることが出来るのです。万が一、培養の途中で細胞に異常などが見つかった場合には治療に使用する事は出来ないため細胞の培養を中止させていただきます。その場合、再度、組織採取をする必要がございますが、安全性と効果性が確保された治療を行うためご了承ください。
バイオスタイルクリニック 主任培養士
山口 仁知
Yoshichika Yamaguchi
岸本医科学研究所 医療法人常盤会ときわ病院(免疫課細胞培養室)、(株)日本培養研究所を経て現在は (株)エス・シー・シー・ラボ 培養技術責任者)及びBiOSTYLE CLINIC 主任培養士を兼務